
苏先生,27岁
牙齿问题:烤瓷牙修复失败
病例情况:苏先生因上门牙牙缝过大影响面部美观,在别家进行了烤瓷牙修复。修复之后,苏先生的上门牙牙龈出现了红肿和疼痛的情况,牙齿对冷热的刺激也特别敏感,为了不让这种情况给自己的生活和工作造成严重的影响,苏先生经过多方的对比和慎重选择,来到了爱齿尔口腔就诊。
诊疗方案:
爱齿尔口腔医生为苏先生的牙齿进行了检查,并拍摄了口腔CT片,发现苏先生除了牙龈红肿之外,里面的牙体也出现发黑和炎症,需要将原先的烤瓷牙拆除,进行治疗后,再进行烤瓷牙重置。
修复方式:烤瓷牙重置

修复前:牙龈出现红肿,烤瓷牙牙体通透性不够,破坏了牙齿整体美观。

拆除烤瓷牙:牙龈和牙体出现发黑情况,带有炎症

临时牙过度

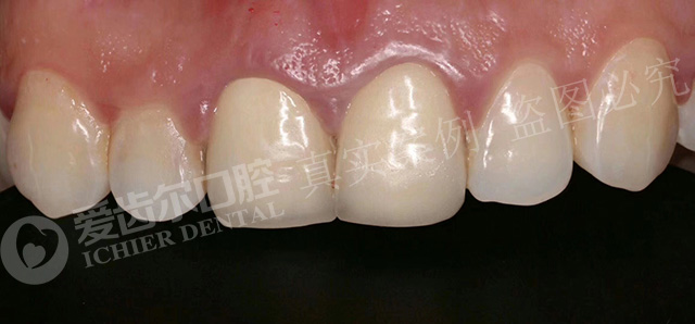
修复后

修复前后对比
修复后回访:
经过再次修复后,苏先生的牙齿也恢复了整齐洁白,和正常的牙齿一模一样。三个月后苏先生再次复查,牙齿使用一切正常,牙龈也没有出现红肿不适现象,苏先生表示,感谢爱齿尔医生精湛的技术,让自己的牙齿重获健康。