随着现在牙齿美容之风的流行,很多爱美人士对牙齿美容关注度越来越高,而牙齿美容的方法也在不断的更新中,现在对于牙齿缺损的美容方法比较好的是种植牙与全瓷牙。那种植牙与全瓷牙的区别是什么呢?下面由武汉爱齿尔口腔的医生为大家介绍:
一、种植牙有牙根,而全瓷牙没有牙根:种植牙可以和真牙一样使用,种植牙保养好的话,可使用终身。全瓷牙修复整个缺失的牙齿,需要依靠套住的邻牙,才能够正常地运用,所以对邻牙造成的压力比较大。
二、价格不同:从一定程度上来说,种植牙需要的技术含量比较高、种植体成本高,这也一定程度上使得种植牙的价格水涨船高。
温馨提示:如有疑问或需要网上挂号预约,请点击【在线咨询】或拨打热线电话400-0809-333
三、如何选择:单颗牙缺失的情况,如果还保留牙根,可以只做全瓷牙修复,这样牙齿修复的时间比较短,顾客可以马上就使用修复好的牙齿,从价格上来看也比较实惠。如果牙根没有了,可以考虑使用种植牙的方式。

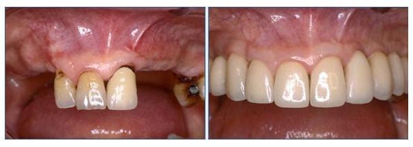
种植前后案例
种植前后案例
武汉爱齿尔口腔是中国高端口腔连锁机构,是专业的口腔诊疗机构,拥有众多国内外专业的口腔医生,在效果和质量上均有保障。
您现在可以获得医生的帮助:
口腔问题免费咨询热线:400-0809-333